Rado ćemo odgovoriti na sve što vas zanima. Ostavite podatke i javit ćemo vam se povratno u najkraćem mogućem roku.
Uskoro ćemo vam se povratno javiti kako bismo odgovorili na sva vaša pitanja. Vaše zadovoljstvo je naš prioritet!
Osmijeh je često prvo što ljudi primijete. Ako vas nesavršenosti poput oštećenih, potamnjelih ili nepravilnih zuba sprječavaju da se smijete bez zadrške, zubne krunice i ljuskice mogu biti brzo i dugoročno rješenje. Iskoristite 20% popusta i napravite prvi korak prema osmijehu kakav ste oduvijek željeli.

Nekad je potrebno ojačati zub krunicom, a nekad je dovoljno malo promijeniti oblik ili boju ljuskicama. U oba slučaja cilj je isti - da se opet smijete bez razmišljanja.
Ne radi se samo o estetskoj promjeni. Riječ je o funkciji, trajnosti i osjećaju sigurnosti u svakodnevnim situacijama.
Kandidat za zubne ljuskice ili krunice utvrđuje se nakon pregleda, jer svaka situacija zahtijeva drugačiji pristup. Ljuskice se najčešće preporučuju kada su zubi zdravi, ali vas smeta njihov oblik, boja, razmaci ili manje nepravilnosti. Krunice su bolje rješenje kada je zub oštećen, oslabljen, liječen ili ima veće ispune te mu je potrebno vratiti čvrstoću i funkciju.
Terapija se najčešće završava u dva do tri dolaska. Prvi korak je pregled i planiranje, zatim priprema zuba i uzimanje otisaka, a na kraju postavljanje gotovih ljuskica ili krunica.
Zahvat je minimalno invazivan i u pravilu bezbolan. Po potrebi se koristi lokalna anestezija kako bi pacijent bio potpuno opušten tijekom postupka.
Zubne ljuskice i krunice mogu trajati dugi niz godina, ali njihova dugotrajnost ovisi o kvaliteti izrade, pravilnom planiranju terapije i održavanju.
U prosjeku, ljuskice traju 10 i više godina, dok krunice često mogu trajati 10 do 15 godina ili dulje.
Ne. Svaka ljuskica i krunica izrađuje se individualno prema vašem osmijehu, tenu i proporcijama lica. Cilj je prirodan, skladan rezultat bez “umjetnog” dojma.
Kod zubnih krunica zub se mora oblikovati kako bi krunica mogla pravilno prianjati i dugoročno biti stabilna. Brušenje je kontrolirano i prilagođeno svakom zubu, s ciljem da se sačuva što više prirodnog tkiva. Kod zubnih ljuskica brušenje je najčešće vrlo minimalno, a u nekim slučajevima može biti i gotovo neprimjetno. Ljuskice se koriste kada su zubi zdravi, pa je zahvat znatno manje invazivan nego kod krunica.
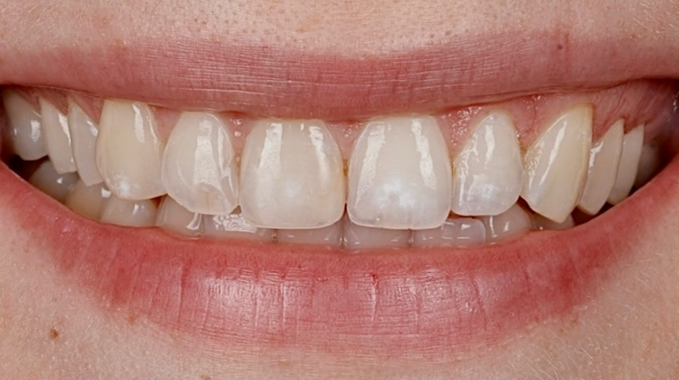
Zubne ljuskice su tanke estetske navlake koje se postavljaju na prednju površinu zuba kako bi poboljšale njihov oblik, boju i proporcije. Njima se mogu korigirati promjena boje koja se ne može izbjeliti, manji razmaci između zuba, nepravilnosti u obliku, istrošeni rubovi ili blaga odstupanja u položaju. Cilj terapije je postići skladan, prirodan osmijeh uz minimalan zahvat na samom zubu.
Ljuskice su namijenjene osobama koje žele estetsko poboljšanje osmijeha bez opsežnih zahvata, uz uvjet da su zubi i desni zdravi. Svaka terapija planira se individualno kako bi rezultat izgledao prirodno i dugoročno stabilno.
Zubne krunice su protetski nadomjesci koji se postavljaju na postojeći zub kako bi mu vratili oblik, čvrstoću i funkciju. Izrađuju se individualno, tako da se bojom i oblikom potpuno prilagode prirodnim zubima.
Preporučuju se osobama koje imaju jako oštećene, istrošene ili napuknute zube, velike ispune, zube nakon liječenja korijena ili zube koji su izgubili stabilnost. U takvim situacijama krunica štiti zub i omogućuje normalno žvakanje bez boli i nesigurnosti.
Osim funkcije, krunice imaju i estetsku ulogu, jer mogu poboljšati izgled zuba kada su jako potamnjeli, nepravilnog oblika ili različite veličine.
Salona Dental birate jer spajamo vrhunsku stručnost, dugogodišnje iskustvo i najmoderniju tehnologiju kako bismo vam osigurali siguran, bezbolan i trajan osmijeh.
Za pacijente s otoka osiguravamo organiziran i jednostavan prijevoz do naše klinike – bez dodatnog stresa i troškova.
Prepoznati smo po vrhunskoj implantologiji i estetskoj stomatologiji, uz rezultate koji traju.
Strah od zubara više nije prepreka – svjesna sedacija čini vaš dolazak u ordinaciju mirnim i ugodnim iskustvom.
Brinemo o vašem osmijehu i vašem budžetu – zato nudimo beskamatno obročno plaćanje.
Svi koji se na besplatan prvi pregled naruče u ožujku ostvaruju 20% popusta na zubne ljuskice i krunice (za gotovinsko i kartično plaćanje - uz mogućnost obročnog plaćanja do 36 rata).
-20%
-20%
Svaka fotografija priča priču – od nesigurnog osmijeha do skladne, prirodne transformacije. Naši pacijenti potvrđuju da zubne ljuskice nisu samo estetska promjena, već način da ponovno s povjerenjem pokažu svoj osmijeh.
Pogledajte rezultate i zamislite kako bi vaš osmijeh mogao izgledati uz pravilno planiranu terapiju zubnim ljuskicama.
Naši pacijenti najbolje pokazuju što znači vratiti osmijeh i samopouzdanje. Promjena im je donijela slobodu da se ponovno smiju bez zadrške i bez razmišljanja o nepravilnostima koje su ih prije smetale.
Pogledajte primjere i zamislite svoj novi, skladniji osmijeh.
Iskoristite posebnu ponudu – svi pacijenti koji se naruče na prvi pregled do 31. ožujka 2026. ostvaruju popust od 20% na zubne ljuskice i krunice. Ispunite kontakt formu, a naš će vas tim ubrzo nazvati kako bismo zajedno pronašli termin koji vam najbolje odgovara.











